むし歯

削る歯を最小限に「シングルリテンションブリッジ」

ブリッジ治療というと、健康な歯をたくさん削らないといけないイメージがありますよね。でも、最近は削る歯を最小限に抑えた治療法もあります。

シングルリテンションBr(接着性Br)とは

歯をほとんど削らずにBr(ブリッジ)を作成する方法です。

この治療をおすすめする方

1.1歯ないし、2歯までの少数歯欠損
2.支える歯が健全歯(神経あり、エナメル質多量の虫歯のない歯)
3.噛み合わせが強くなく、咬合のバランスが良い(かみ合わせが深い)
4.広い接着面積を確保可能

メリット

  • 最小限の侵襲ですむので身体への負担が少ない
  • 治療期間が短い
  • 治療費が比較的安価

デメリット

  • 通常のブリッジに比べて外れる可能性が高い
  • お勧めできる方が限られる
  • 保険適応外

シングルリテンションBrの症例紹介

この患者さんは、今まで気になってはいたけれど、Brやインプラントはしたくないため、悩んだまま放置しておられました。極力、歯への侵襲を抑えた治療を希望していたため、今回シングルリテンションBrにて治療を行うことにしました。

シングルリテンションBrの治療とながれ
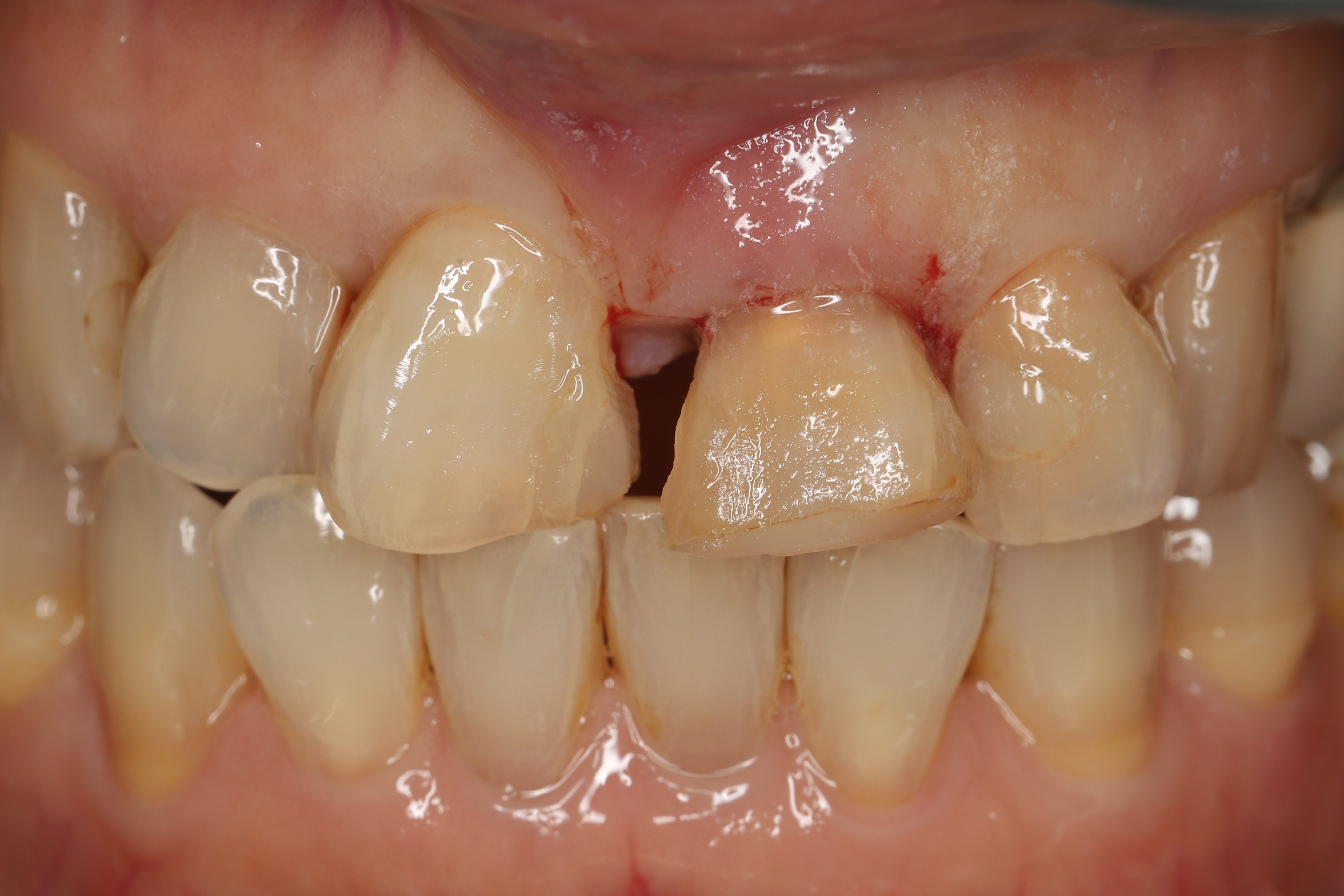
1.抜歯する部分の型をとる(抜歯した日に歯抜けにならないように仮歯作成のため)
2.1の仮歯の準備が整ったら、抜歯後、仮歯をセットする

 

歯を抜いて歯茎が落ち着くまでの3ヶ月は仮歯で過ごします。画像は仮歯を外し、歯をセットする前の状態です。

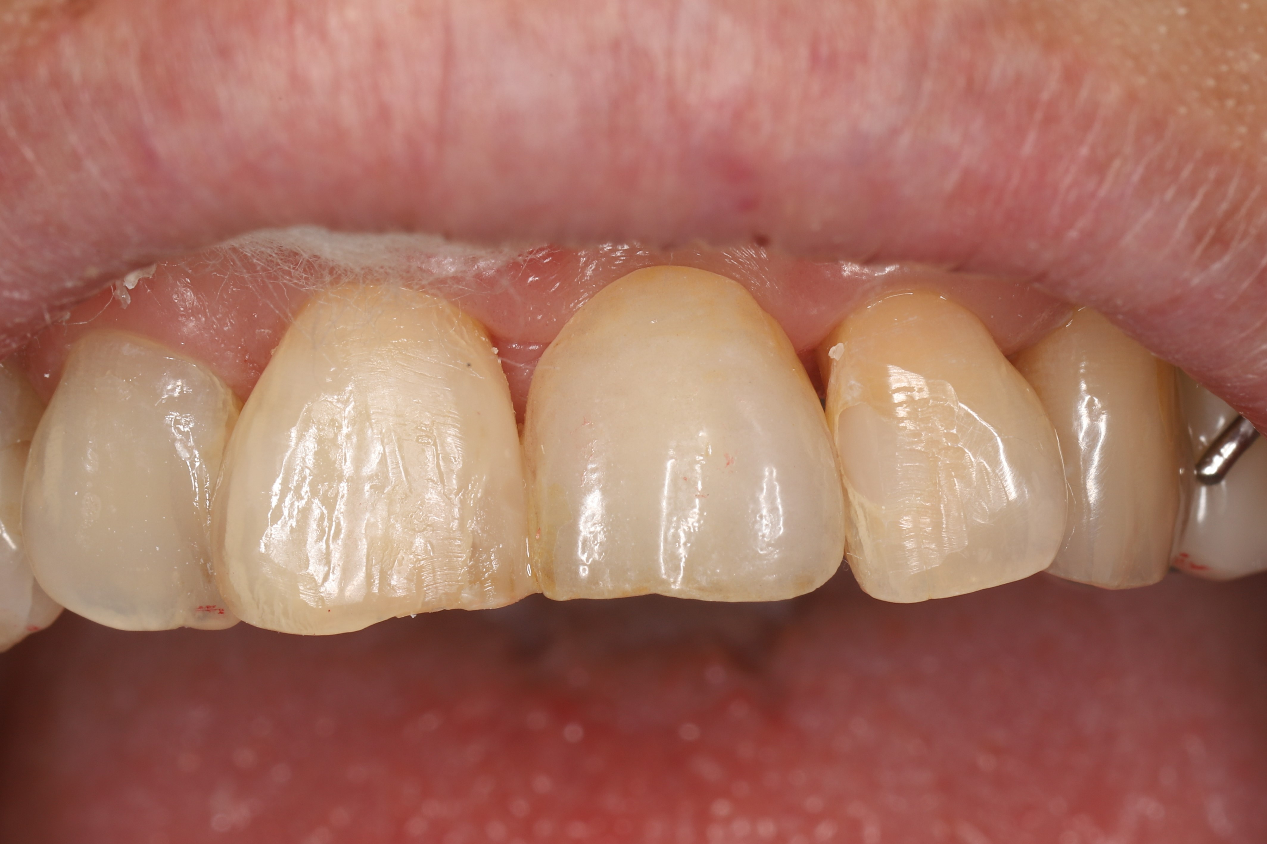
【 歯セット後 】

 

通常のブリッジは気が進まない方、一度ハニー歯科へご相談ください。

関連記事

コメント

この記事へのコメントはありません。