ガムピーリングとは、歯茎の黒ずみや変色を薬剤により一層除去してトーンアップをはかる施術です。
こんな方におすすめ
- 喫煙により歯ぐきが黒ずんでしまった
- もともと、歯ぐきが黒っぽい
- ホワイトニングや被せものの治療後、さらに口元の美しさを求めたい
ガムピーリングができない方
- 歯肉に炎症のある方(歯肉炎、歯周病など)
- アルコール、フェノール類の薬剤にアレルギーのある方
- 金属でできた歯のかぶせ物が原因で、歯肉が黒ずんでいる方
治療後の注意事項
- 歯肉が施術後の3~4日間くらいは白っぽくなります
- 辛い物や塩辛い物などの刺激の強い食べ物は施術後控えるようにして下さい
- お口の中を歯磨きやうがいなどで清潔に保って下さい
- 施術を歯と歯肉の境目までした場合は歯磨きの際に出血することがあります
- ケア後は禁煙することをおすすめします
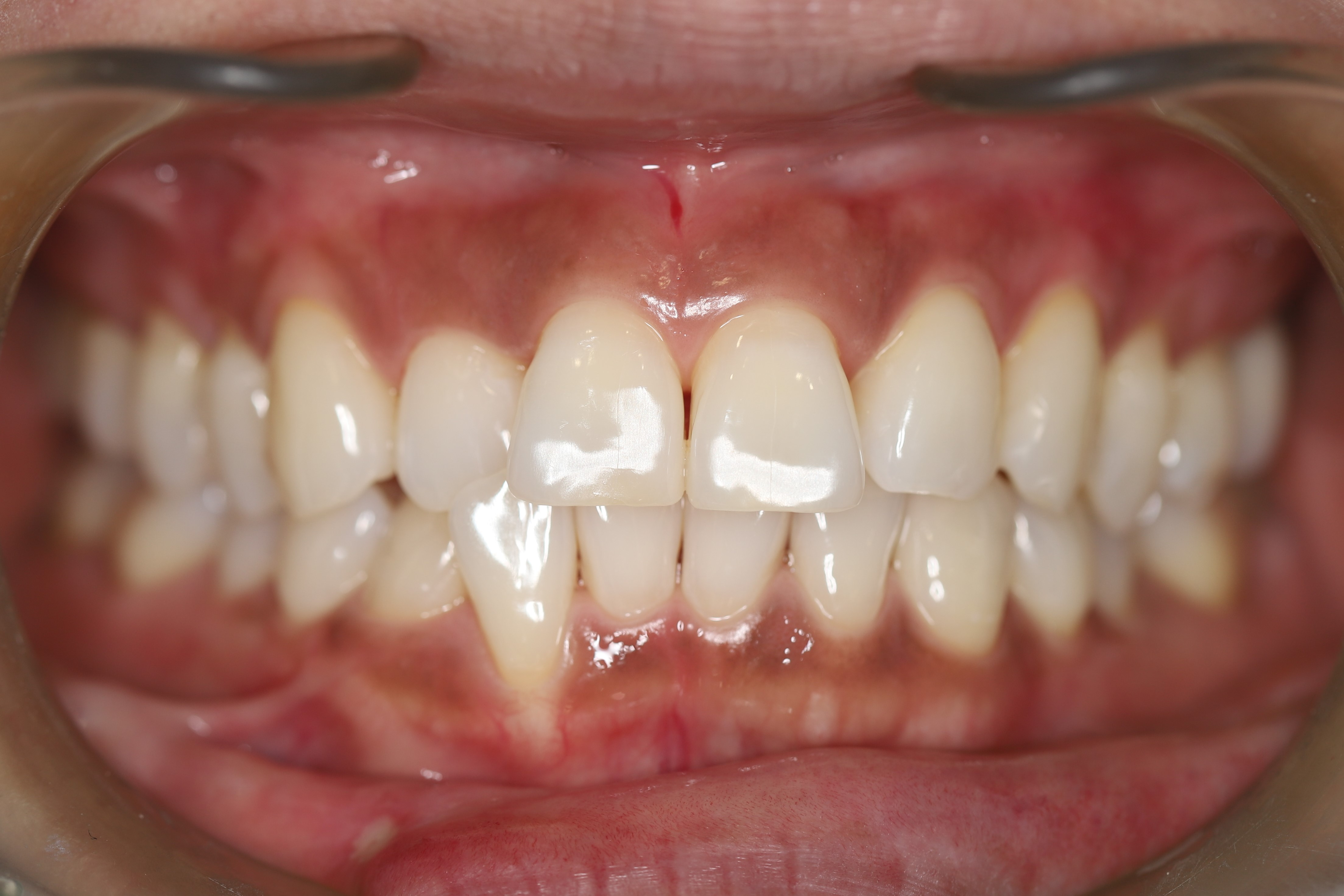
ガムピーリング施術前

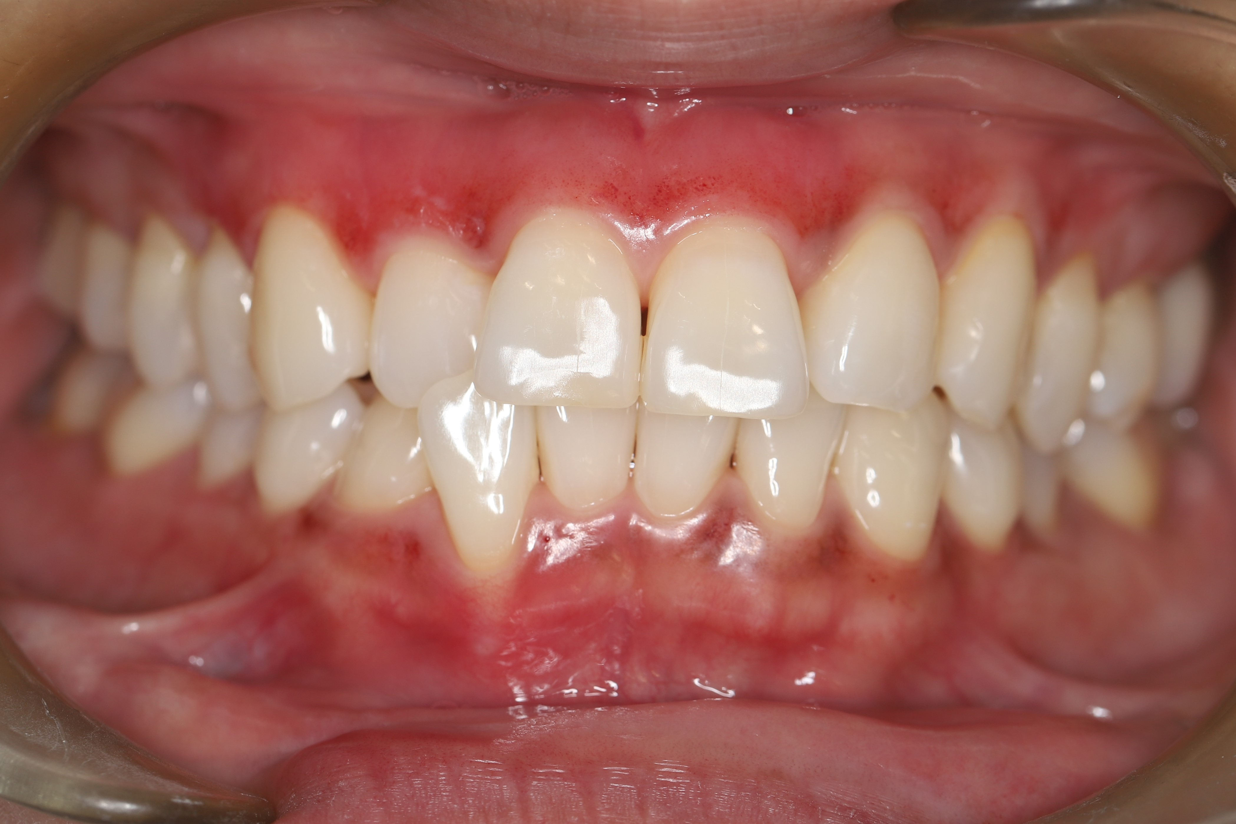
ガムピーリング施術7日後

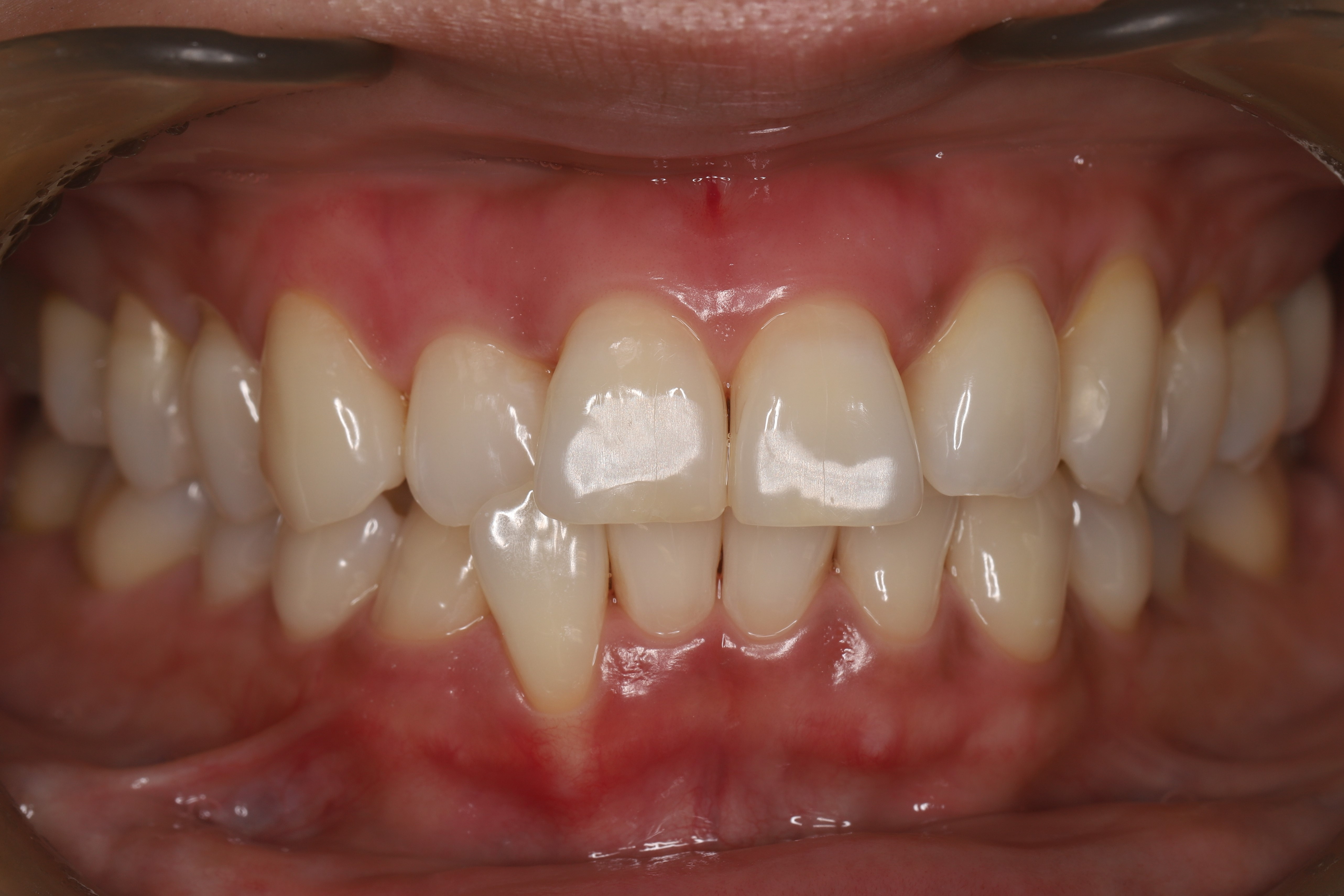
ガムピーリング施術10日後

ガムピーリング費用
・初診の方
11000円(税込)※検査、クリーニング代含む
・当医院に通院中で歯茎が安定している方
5500円(税込)
歯茎の黒ずみや着色が気になる方、お試しください。

コメント